Днепрянин почти месяц ходил с зубным протезом в бронхах
Днепровские врачи обнаружили в грудной клетке пациента зубной протез. Об этом сообщает Відкритий со ссылкой на Facebook-страницу Сергея Щудро.
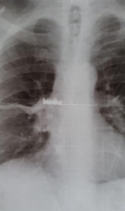
В детский эндоскопический центр обратился днепрянин с подозрением на коронавирус. Ему сделали рентгенограмму органов грудной клетки, во время которой обнаружили инородное тело в правом главном бронхе.

Под местной анестезией врачам удалось извлечь загадочный предмет. Им оказался зубной протез, который днепрянин случайно проглотил около 3 недель назад.
«На обзорной рентгенограмме органов брюшной полости инородного тела не было. В течении всего периода отмечался приступообразный кашель. С подозрением на COVID-19 была сделана рентгенограмма органов грудной клетки, где удалось найти, находившееся в правом главном бронхе, инородное тело. Выполнена фибробронхоскопии под местной анестезией с последующим его удалением », — написал в соцсетях врач-эндоскопист ДОДКБ Сергея Щудро.

ЧИТАЙТЕ ТАКЖЕ: Под Днепром девочка отравилась спреем для горла: ребенка спасли.
Подписывайтесь на наш Телеграм-канал и страницу Відкритого в Фейсбук, чтобы первыми узнавать о важных событиях в Днепре.
Теги: врачи, новости Днепра

